
Corrective Chiropractic for Sarasota Families & Athletes
5.0
125+ REVIEWS ON GOOGLE
+ SAME-DAY APPOINTMENTS
+ NEW PATIENT FAMILY SPECIALS
+ NO REFERRAL NEEDED
Serving the Sarasota & Bradenton areas since 2021
OUR NEW PATIENT PROCESS
Getting Started at Circadian




Spinal Exam Visit
Your Day 1 Spinal Exam consists of four series of tests designed to measure your spinal alignment, movement, nerve function, and any pre-existing spinal damage.




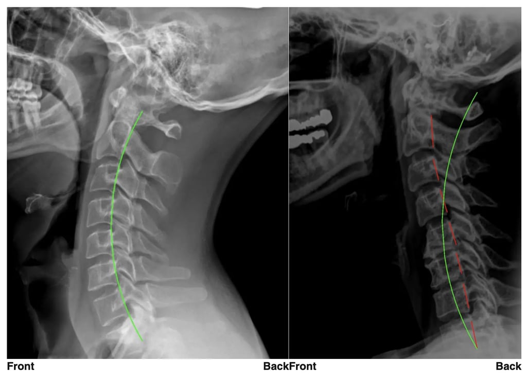
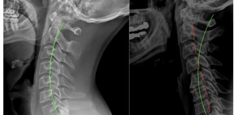
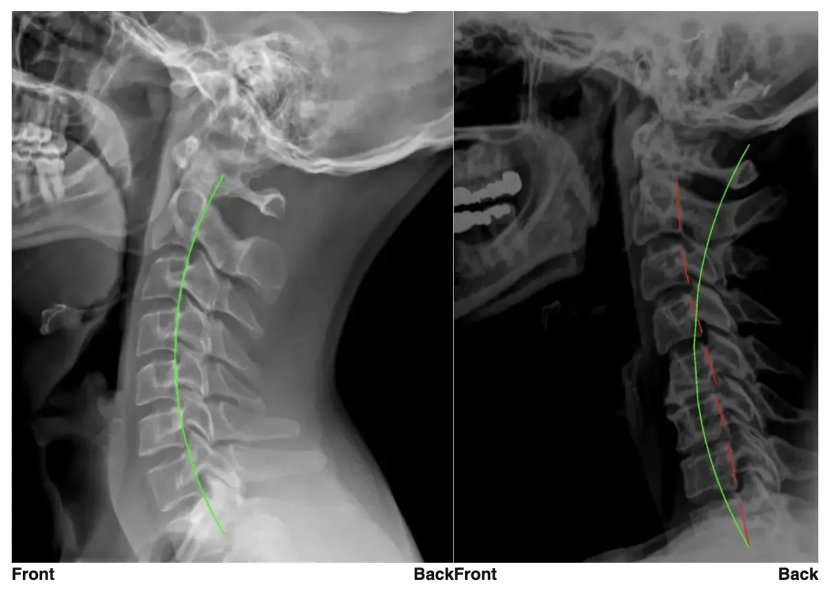
Precise X-Ray Reports
We use state-of-the-art technology from PostureRay to visualize your digital x-rays to measure spinal alignment and determine exactly what type of care is right for you.




Personalized Care Plans
On your Day 2 Results Visit, we will present you with your custom roadmap to optimal health through Chiropractic care, exercises, spinal traction, and any other necessary lifestyle recommendations.


Who we help
Spine & Nervous System Conditions That We Help
We take a comprehensive approach to helping our patients get better faster and stay better longer through corrective chiropractic for the whole family. Our areas of focus include:
Nervous System Health
Sleep & Energy
Neck Pain
Posture Correction
Sports Injuries
Back Pain
Sciatica & Nerve Pain
Performance Chiropractic
Wellness Chiropractic
Kids & Teens
Headaches & Mirgraines
Auto Accidents / Personal Injury
GOOGLE REVIEWS
Real People, Real Results




"
These guys are the best in all of Sarasota! They are super aware of the body and very well educated!! If you’re looking to better your swing, correct your form, fix your back, or simply just need some people in your corner rooting for you! Circadian is the place to be!
Rehnan
/ Local Mobile Personal Trainer


"
I have gone to the chiropractor my whole life and it has always been something to help me significantly. Dr. Alex & his team is absolutely amazing! When you’re in for adjustments he checks everything and you always walk out like your whole life has aligned, not just your spine & body!
Skye
/ Local Business Owner
5.0
125+ REVIEWS ON GOOGLE




Dr. Alex Lee
Chiropractor / Clinic Owner
MEET DR. ALEX LEE
"I had to heal and Chiropractic was my last pick..."
Dr. Alex Lee graduated from Life Chiropractic College West "Life West" after becoming a Chiropractic patient following injuries at the end of his collegiate baseball career and receiving no answers from western medicine.
After becoming a patient, "Doc" fully recovered from several spinal injuries and nervous system health challenges that had severely limited his life for almost 3 years, and then went on to play four seasons of baseball in Europe & Australia (without injury) prior to starting Chiropractic school.
While in school, Doc re-started the Torque Release Technique Club on campus, and served in leadership roles in the Knee Chest Upper Cervical Club, Thompson Technique Club, and Pediatrics Club. He is still an active member of the Delta Sigma Chi Fraternity (the largest & oldest Chiropractic organization) and is active in working to keep it drug-less and untouched by western medicine on a state legislative level.
Following school, Doc was an Associate Chiropractor at Waterman Chiropractic in San Ramon, CA, one of the most successful cash-based clinics in the country, where he learned The Zone Technique and worked with hundreds of patients each week.
A native of just outside of Boston, Doc lives in Sarasota with his wife, Kirsten - who he met while in Chiropractic school - and their son, Teddy.
WHO WE ARE
The Team at Circadian




Joy Spradley, Office Manager
Joy has been our Office Manager since one week prior to opening in September of 2021! Outside of Circadian, Joy runs a local homeopathy meetup, frequents Lido Beach, loves to connect people, and is always learning more about holistic health.




Jesse Yackel, Massage Therapist
Jesse is a Sarasota native, and he showed up to shadow one day at his halfway point of his Massage School then never left. In addition to his Level 1 Certification in Frequency Specific Microcurrent (FSM), Jesse plays soccer in his free time and fixes anything that breaks.




Devlin Granberg, Neufit Coach
"Dev" was a patient at Circadian prior to his retirement from professional baseball in the Boston Red Sox organization, where he reached the AAA level after being named a D1 All-American at Dallas Baptist University. Coach is passionate about helping athletes level up their performance and recover from injury.
OUR CLINIC
A Healing Environment





Best Chiropractors
Chiropractor / Founder
MEET DR. HELENA SANDERS
Our Commitment to Exceptional Care
We combine clinical expertise with a patient-first approach to deliver consistent, lasting results. You're not just a number here—you're part of our care family.
We accept all PPO insurance and offer free verification for your peace of mind.ell-being.
+ Hands-On, Not Rushed
+ Same-Day Appointments
+ Flexible Scheduling
+ Personalized Care
+ Licensed Chiropractor
+ Long-Term Wellness

Are You Struggling with:
Nervous System Healh
Sports Injuries
Headaches and Migraines
Spinal Pain
Circadian Chiropractic & Sport
© 2026 Circadian Chiropractic & Sport. All rights reserved.