
Together we can determine underlying core problems with your spine and nervous system through your Day 1 Neuro-Structural Assessment.
With this process, we've helped thousands accurately determine the root causes of their health concerns and begin to make a game plan for long-term correction.

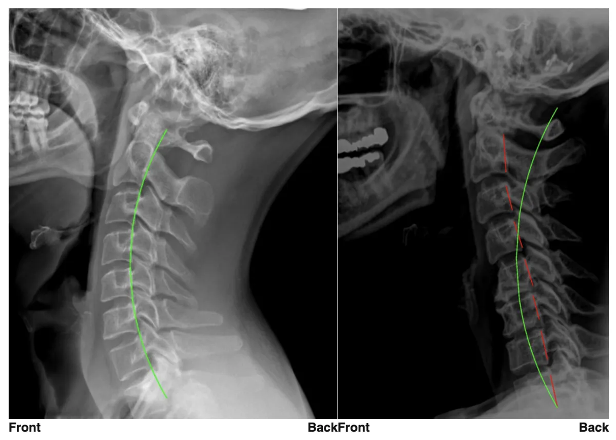
Chiropractic was the first profession to use x-ray to measure spinal alignment, and we use state-of-the-art technology from PostureRay to visualize your Digital X-Rays to see normal alignment vs. abnormal alignment (seen above in the neck), as well as changes to spinal curves and any damage to the spine caused by long-term vertebral subluxation.

After a comprehensive review of your current state of health, considering both the function of your nervous system and the structure of your spine, we will present your custom roadmap to Chiropractic care and make any other lifestyle recommendations at this time.
We will also begin your care on this visit.


After considering structural findings from X-Ray, we utilize primarily assess the spine & nervous system using The Zone Technique. "Zone" focuses on balancing six brain centers that control the six main systems of the body - Glandular, Eliminative, Nervous, Digestive, Muscular, and Circulatory. Using manual, drop table, and instrument adjusting, we can help you balance Zones to help with... [read on]

For athletes and anyone with injuries stemming from a neuro-muscular origin (or brain-muscle), we can use The Neubie's direct current muscle stimulation technology to find root causes that keep the body from absorbing force properly and preventing injuries from fully resolving. By combining Chiropractic care with The Neubie, we help pro and amateur athletes to get back on the field... [read on]

We offer a unique style of neuro-muscular massage therapy as we use specific healing frequencies (Frequency Specific Mircocurrent, or "FSM") during massage therapy sessions. FSM has allowed us to aid the healing process of some very complex health problems rooted in nervous system dysfunction that may otherwise not respond to the western medicine approach of... [read on]

Chiropractor & Practice Owner
Dr. Alex Lee graduated from Life Chiropractic College West "Life West" in Hayward, CA after becoming a Chiropractic patient following injuries at the end of his collegiate baseball career and receiving no answers from western medicine.
After becoming a patient, "Doc" fully recovered from several spinal injuries and nervous system health-challenges that had severely limited his life for almost 3 years, and then went on to play four seasons of baseball in Europe & Australia (without injury) prior to starting Chiropractic school.
While in school, "Doc" re-started the Torque Release Technique Club at Life West, as well as serving on E-Board for the Knee Chest Upper Cervical Club. As an active member of the Delta Sigma Chi Fraternity (the largest & oldest Chiropractic organization in the profession), Doc is still active in growing the profession and working to keep it drug-less and untouched by western medicine on a state legislative level.
Following school, Doc was an Associate Chiropractor at Waterman Chiropractic in San Ramon, CA, one of the most successful cash-based clinics in the country, where he also learned The Zone Technique and worked with hundreds of patients each week.
A native of just outside of Boston, Doc lives in Sarasota with his wife, Kirsten - who he met while in Chiropractic school - and their son, Teddy.

Joy has been our Office Manager since one week prior to opening in September of 2021!
Outside of Circadian, Joy frequents Lido Beach, loves to connect people, and to learn more about holistic health.

Jesse is a Sarasota native, and he showed up to shadow one day at the halfway point of his Massage School and then never left. In addition to his Level 1 Certification in Frequency Specific Microcurrent (FSM), Jesse plays soccer in his free time and fixes anything that breaks.

Devlin Granberg was a patient at Circadian prior to his retirement from professional baseball in the Boston Red Sox organization, where he reached the AAA level after a successful collegiate career at Dallas Baptist University. "Coach" is passionate about helping athletes level up their performance and recover from complex injuries.

Contact Info
Email: [email protected]
Address:
Phone Number:
(941)259-2229
Get In Touch
Clinic Hours:
M 8am-11am, 3pm-6pm
Tu 8am-1pm
W 1pm-6pm
Th 8am-11am, 3pm-6pm
F Closed
Sa (2 per month) 8-11am
Su Closed
Office: 5250 17th Street, Unit 101
Sarasota, Florida 34235

Sarasota Zone Technique | Sarasota Sports Chiropractor | Sarasota Family Chiropractor | Sarasota Neufit | Sarasota Neubie | Frequency Specific Microcurrent FSM Sarasota